[전승준의 이(齒)상한 이야기]
치과에서 이루어지는 다양한 검사 방법
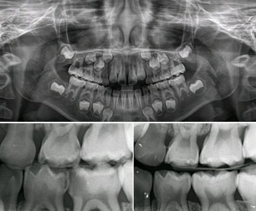
파노라마 방사선 사진과 큐레이 검사법
우리는 몸과 마음, 감정이 조화롭게 어우러져 있습니다. 그래서 입안의 작은 치아에 나타나는 이상도 단순히 국소적인 문제만이 아니라 전신적으로, 정서적으로 까지도 영향을 받을 수 있습니다. 치과 진료는 단지 지금 보이는 문제만 해결하는 것이 아니라 왜 그런 문제가 생겼는지 파악하고, 치료 후에도 건강한 상태를 유지할 수 있도록 예방 계획까지 함께 세우는 과정입니다.
치과 검사는 환자가 느끼는 불편함이나 이상 증상을 말로 표현하는 것에서 시작됩니다. 어린이의 경우에는 표현이 어려울 수 있어 부모님이나 보호자의 설명이 큰 도움이 됩니다. 증상이 언제 시작되었는지, 얼마나 오래 지속됐는지, 어떤 상황에서 더 심해지는지 등을 듣고 기록합니다.
그리고 증상과 관련이 있을 수 있는 전신 질환도 함께 확인합니다. 예를 들어, 당뇨병이 있으면 입안에 생긴 상처가 잘 아물지 않고 오래 지속될 수 있습니다. 그러므로 과거의 수술, 입원 경험, 감염, 알레르기, 사고 이력 등도 꼼꼼히 확인하게 됩니다. 몸 전체의 건강 상태를 확인하고, 필요에 따라 체온, 혈압, 맥박, 호흡 등을 체크한 뒤에야 본격적으로 입안을 살펴봅니다.

입안을 살펴보는 검사는 눈에 보이는 상태, 즉 객관적인 검사가 먼저 이루어집니다. 다시 한번 강조드리지만 치과 검사는 단순히 치아만 보는 것이 아닙니다. 입술, 잇몸, 혀, 입천장, 인두(목 안쪽) 등 연조직까지 꼼꼼히 살핀 후에야 치아를 검사합니다. 그래야 놓치는 부분 없이 진단할 수 있기 때문입니다.
치아 검사에서는 충치 여부뿐 아니라 색, 크기, 형태, 표면 상태도 살펴보고, 치아 배열과 맞물림 상태, 그리고 치아를 지탱하는 잇몸 상태도 함께 확인합니다. 필요에 따라 만져보거나 두드려보는 방법도 사용합니다.
그리고 이어서 빠질 수 없는 검사가 바로 방사선 검사입니다. 구강 내에서 촬영하는 작은 엑스레이 사진부터, 턱 전체를 찍는 파노라마 사진, 치과용 컴퓨터단층방사선사진(CT)까지 종류가 다양합니다. 육안으로는 볼 수 없는 치아 속 구조나 잇몸뼈 상태, 혹은 염증이나 낭종 같은 병적인 상태를 파악하는 데 꼭 필요한 검사입니다.
하지만 많은 분들, 특히 아이를 데려오신 보호자분들께서 “방사선은 몸에 해로운 것 아닌가요?”하고 걱정하시고 질문하시면서 촬영하기를 꺼리시는 분들이 꽤 많이 있습니다. 그래서 그분들을 안심시켜드리는 것이 치과 의료진의 중요한 업무중의 하나입니다.
치과에서 사용하는 방사선은 매우 적은 양이며, 실제로 입안 엑스레이 한 장을 찍을 때 나오는 방사선량은 우리가 평소 일상생활에서 자연스럽게 햇볕을 통해 받는 양과 비슷합니다. 게다가 촬영 시에는 납으로 된 방호복을 입고 검사하기 때문에 그나마도 대부분 차단이 됩니다.
그리고 최근에는 ‘정량광형광기 검사’라는 새로운 진단 기술도 함께 사용되고 있습니다. 2021년부터 도입된 이 검사는 ‘큐레이(Q-ray)’라는 장비로 파란색 빛(가시광선)을 입안에 비추어 칫솔질이 잘 안된 곳이나 세균이 많은 부위를 탐지합니다.
무기질이 빠져나간 충치 부위는 어둡게 보이고, 세균이 만들어내는 특정 물질은 붉은 형광으로 나타나기 때문에 충치뿐 아니라 치아의 균열, 치태나 치석까지 확인할 수 있습니다. 아무리 설명을 해드려도 방사선이 걱정되시는 분들께는 더욱 유용한 검사 도구입니다.

물론 이 검사만으로 방사선 검사를 대체할 수는 없습니다. 앞서 설명한 다양한 검사들과 방사선 검사, 그리고 이 광학 장비를 함께 활용할 때 훨씬 더 정확한 진단과 치료 계획이 가능해진다는 것을 꼭 아시면 좋겠습니다.
치과 검진 및 치료 계획 수립, 이어지는 진료는 단순히 눈으로 보고 판단해서 진행되는 것이 아니라는 것을 다시 한번 강조드리고, 환자의 병력, 검사 결과, 영상 분석 등을 바탕으로 여러 정보를 종합해 신중하게 계획되므로 각자 환자 한 분 한 분께서 가장 적절한 검사를 통한 치과 진료를 받으시기를 바랍니다.
여성경제신문 전승준 (소아치과)치과의사 pedojune@hanmail.net
관련기사
- [전승준 더봄] 아말감, 레진, 세라믹···충치 치료 보철물 장단점은?
- [전승준 더봄] 스케일링에 관한 오해와 진실
- [전승준 더봄] 무심코 하는 칫솔질, 구강 건강을 해칠 수도
- [전승준 더봄] 치아 손상, 내 상태에 맞는 복구 방법은 뭘까?
- [전승준 더봄] 구강 관리, 연령대별로 살펴야 할 곳이 다르다?
- [전승준 더봄] 치과에 갔을 때 대접받으려면
- [전승준 더봄] 다양한 구강 위생 도구 올바른 사용 방법은?
- [전승준 더봄] 치과에 갈 때 꼭 확인해야 할 것은?
- [전승준 더봄] 치과 신경치료, 무서워할 필요가 없다고요?
- [전승준 더봄] 원인 모를 입안 통증·턱관절 소리···어떤 과를 찾아야?

